Chirurgie du Menton ou Génioplastie à Paris : Indications et signification

La génioplastie, ou chirurgie du menton à Paris, est une opération chirurgicale qui a pour but de modifier l’apparence esthétique du menton, qu’il s’agisse d’un menton trop en avant, d’un menton trop en retrait, d’un menton court, d’un menton long ou d’un menton dévié.

Par génioplastie on désigne une chirurgie du menton. Cette chirurgie peut être motivée :

 

  • Soit par des raisons uniquement esthétiques, c’est-à-dire que les gens choisissent de réaliser cette opération avec des motivations esthétiques et non en raison d’un problème fonctionnel.
  • Soit par des raisons uniquement fonctionnelles, c’est-à-dire que les gens choisissent de réaliser cette opération en raison d’un problème fonctionnel:
    • Dans le cas d’un problème d’apnée du sommeil ou de ronflement favorisé par ce menton en retrait – qui est en fait dû à un aspect bi-rétrusif maxillo-mandibulaire. Dans ce cas, une ostéotomie d’avancement bimaxillaire associée à une génioplastie peut-être réalisée.
    • Dans le cas d’un problème de crispation des muscles de la houppe du menton avec inocclusion labiale au repos. Dans ce cas on pourra réaliser une génioplastie de réduction de hauteur et d’avancée.
  • Soit par des raisons à la fois fonctionnelles et esthétiques, qui reprennent les éléments ci-dessus
La chirurgie du menton peut être réalisée seule ou associée à une autre chirurgie, comme une chirurgie d’avancement bimaxillaire, afin de réduire ou supprimer un double menton par exemple.

Il existe plusieurs façons de réaliser cette intervention :

 

  • L’avancement du menton, ou le déplacement du menton vers l’avant, dans le cas d’un menton en arrière par exemple
  • Le déplacement du menton vers l’arrière, dans le cas d’un menton en avant par exemple
  • Le recentrage du menton, en cas de menton asymétrique par exemple
  • Les modifications verticales du menton, comme l’allongement du menton ou le raccourcissement du menton, dans le cas d’un menton long ou au contraire dans le cas d’un menton court par exemple
Les différents types de menton pour lesquels les patients viennent consulter le Dr Thierry Loncle, spécialisé en chirurgie du menton à Paris (cliquez pour agrandir).

Dans cet article, nous nous intéresserons aussi à d’autres techniques chirurgicales de génioplastie qui ont pour objectif de modifier l’aspect esthétique du menton :

  • les injections de « fillers » (produits de remplissage) dans le menton, notamment de l’acide hyaluronique pour avancer le menton,
  • les implants mentonniers en silicone
  • les implants mentonniers en titane perforé sur mesure

en abordant leurs aspects esthétiques, leurs avantages et leurs inconvénients par rapport à la génioplastie osseuse.

Pour découvrir plus de cas de génioplastie, visitez notre page de cas avant/après de génioplastie.

implant menton génioplastie paris chirurgie du menton paris
Sur cette image, on observe un implant mentonnier, qui permet d’avancer le menton du patient. Il fait l’objet d’une chirurgie du menton à Paris.
Il existe de nombreuses indications de chirurgie du menton, cependant les patients viennent souvent nous consulter pour les raisons suivantes :

  • Un menton fuyant (ou menton en retrait),
  • Un menton en galoche (ou menton en avant),
  • Un double menton, qui peut être favorisé par un menton en retrait et/ou une rétromandibulie

… et ce aussi bien chez les hommes que chez les femmes. Mais il existe bien sûr de nombreuses autres causes, et la consultation chez le chirurgien maxillo-facial permet d’identifier la cause du problème et de proposer une solution chirurgicale.

Chirurgie du menton fuyant à Paris : Génioplastie d’avancement du menton chez les hommes

Un menton marqué et bien défini est souvent associé à la caractéristique d’un visage masculin équilibré et attrayant, tout comme le sont les angles mandibulaires (découvrez notre article sur les implants 3D et les angles mandibulaires).

Avec une génioplastie (chirurgie du menton), le chirurgien maxillo-facial à Paris peut ainsi renforcer un menton fuyant ou menton en retrait, améliorer l’harmonie entre les traits de votre visage et donner un profil plus viril.

Les hommes ayant un menton fuyant, un menton en retrait ou un menton dit faible, peuvent ainsi bénéficier d’une amélioration de l’esthétique du visage.

Il existe deux approches différentes pour avancer le menton chez l’homme, soit en utilisant un implant mentonnier, soit en avançant l’os du menton avec une chirurgie osseuse. Cette chirurgie permet aussi de modifier la hauteur du menton, et quand c’est le cas de corriger aussi une asymétrie. Nous allons voir plus bas les avantages et les inconvénients des différentes techniques en chirurgie du menton.

 

Voici un cas de génioplastie avec chirurgie de réduction de hauteur et d’avancée réalisée par le Dr Thierry Loncle, chirurgien maxillo-facial spécialisé en chirurgie du menton à Paris.

Voici un cas de génioplastie d’augmentation de hauteur et d’avancée avec chirurgie d’avancement bimaxillaire réalisée par le Dr Thierry Loncle, chirurgien maxillo-facial spécialisé en chirurgie du menton à Paris.

Chirurgie du menton fuyant à Paris : Génioplastie d’avancement chez les femmes

Chez la femme, avancer légèrement un menton trop fuyant (en retrait) permet de mieux définir le dessin du menton, et de créer une esthétique du visage harmonieuse et plus féminine. Le menton fuyant peut être moins avancé chez la femme que l’homme, afin de conserver la féminité des traits. Le chirurgien maxillo-facial verra avec vous quel résultat vous souhaitez obtenir après l’opération.

Il existe plusieurs approches différentes pour avancer le menton chez la femme, on peut soit en utilisant un implant mentonnier, soit avancer l’os au niveau du menton avec une chirurgie osseuse. Cette chirurgie permet aussi de modifier la hauteur du menton, et quand c’est le cas de corriger aussi une asymétrie. Nous allons voir plus bas les avantages et les inconvénients des différentes techniques en chirurgie du menton.

Voici une patiente opérée par le Dr Thierry Loncle, chirurgien maxillo-facial spécialisé en chirurgie du menton à Paris.

Un autre cas de patiente opérée en génioplastie par le Dr Thierry Loncle, chirurgien maxillo-facial spécialisé en chirurgie du menton à Paris.

Voici un cas de génioplastie réalisée par le Dr Thierry Loncle, chirurgien maxillo-facial spécialisé en chirurgie du menton à Paris.

Chirurgie du menton en galoche à Paris (Génioplastie Hommes)

Si le menton est parfois trop en retrait et nécessite une chirurgie d’avancement ou des implants pour être plus avancé et mieux défini, il arrive aussi que le menton soit au contraire trop en avant, on parle alors d’un menton en galoche.

La chirurgie de réduction du menton, également appelée mentoplastie, permet de remodeler les mentons proéminents, d’améliorer le contour du menton et donc la structure générale des traits du visage, ce qui permet d’obtenir une ligne de mâchoire masculine équilibrée.

Parfois, lorsque la mâchoire est très proéminente (en cas de prognathie), une ostéotomie d’avancée maxillaire, voire une ostéotomie bimaxillaire peuvent également être pratiquées en même temps que la chirurgie du menton pour que le patient ait une occlusion fonctionnelle. Les deux chirurgies associées permettent alors d’obtenir un résultat à la fois fonctionnel et esthétique parfait.

chirurgie du menton radiographies profil avant apres chirurgie du menton abaissement recul
Ci-dessus, on observe les télé-radiographies de profil avant/après d’un patient avec un menton en galoche opéré par le Docteur Thierry Loncle. Après la génioplastie, le recul et l’abaissement du menton a permis d’obtenir un visage plus harmonieux.

Chirurgie du menton en galoche à Paris (Génioplastie Femmes)

La forme et l’apparence du menton sont un aspect extrêmement important du visage et sont déterminants dans l’esthétique faciale. En général, les mentons masculins ont tendance à être plus anguleux, plus larges, plus longs et carrés avec une base plate, tandis que les mentons des femmes ont tendance à être plus lisses, plus arrondis et plus doux en apparence.

Le remodelage du menton, aussi appelée génioplastie ou mentoplastie, permet par exemple de réduire l’apparence d’un menton large ou proéminent lorsqu’une apparence plus féminine est souhaitée. Cette intervention a pour but d’apporter un équilibre naturel en réduisant et en remodelant le menton pour qu’il soit plus petit, moins anguleux, avec une esthétique plus lisse et plus féminine.

L’intervention de génioplastie permet de réduire un menton volumineux pour l’amener aux proportions plus petites, plus typiques d’un menton féminin. Les asymétries existantes sont également éliminées afin d’augmenter la symétrie et d’obtenir un aspect esthétique général agréable. Le remodelage du menton est une procédure souvent entreprise dans le cadre d’un processus chirurgical de féminisation du visage.

Voici un cas avant/après de menton en galoche d’une patiente opérée par le Dr Thierry Loncle à Paris. 

Génioplastie menton en galoche à Paris

Comment se déroule une chirurgie du menton en galoche à Paris ? Dans le cas d’une réduction basique du menton, l’os de la mâchoire inférieure est coupé et remodelé à l’aide d’une fraise chirurgicale pour donner un aspect moins proéminent, plus conforme au reste du visage, de profil et de face.

Les incisions nécessaires à la réalisation de cette intervention sont généralement pratiquées à l’intérieur de la bouche, sous la lèvre, afin de minimiser les cicatrices visibles.

Les étapes successives de la chirurgie du menton dans le cas d’un menton en galoche (cliquez pour agrandir)
Lorsqu’on souhaite reculer l’ensemble de la mandibule, dans le cas d’une réduction de la mandibule inférieure (ostéotomie mandibulaire) associée à une génioplastie, la mâchoire devra être repositionnée de manière plus importante. Cela implique de couper la mâchoire inférieure derrière les molaires arrière, la section avant de la mandibule est alors glissée sur la section arrière pour prendre la longueur excédentaire, puis elles sont à nouveau fixées l’une sur l’autre.

Génioplastie et double menton à Paris

La chirurgie du menton permet, dans le cas d’une avancée du menton en retrait, de réduire ou de supprimer un double menton. Le fait d’avancer, même légèrement, le menton, permet ainsi d’obtenir un double avantage esthétique, avec l’équivalent d’un lifting, comme on peut le constater sur l’image avant/après ci-dessous.
double menton paris neuilly chirurgie loncle
Une patiente avec un double menton avant et après la génioplastie avec liposuccion réalisée par le Dr Thierry Loncle

Quelles sont les différentes techniques de chirurgie du menton ?

Génioplastie osseuse

Dans le cadre d’une génioplastie osseuse, le chirurgien maxillo-facial va avancer l’os du menton, le recentrer pour corriger une asymétrie ou encore l’abaisser ou en enlever une partie si c’est l’indication, tout cela en fonction de la situation et de l’objectif esthétique recherché.

Dans le cas d’un menton trop en avant (menton en galoche), c’est la seule intervention possible, les implants ou les injections ne pouvant pas apporter de solution. La génioplastie osseuse peut donc  corriger les mentons trop en avant et trop longs en réduisant ou en abaissant l’os du menton.

Dans le cas d’un menton fuyant ou en retrait, le Docteur Thierry Loncle, chirurgien maxillo-facial à Paris et Neuilly, réalise aussi ce type d’ostéotomie, car elle présente plusieurs avantages par rapport aux implants mentonniers et aux injections :

  • Les implants s’accompagnent plus souvent de complications post-chirurgicales (rejets, infections) : plus bas, on observera une radio avec l’implant qui résorbe l’os.
  • Les implants ne permettent pas de corriger aussi finement la hauteur et la symétrie que ne le permet une génioplastie osseuse
  • Les injections présentent des imprécisions importantes, ne sont pas stables dans le temps et ne permettent qu’une très faible avancée, qui ne s’applique donc que dans le cas de mentons très légèrement en retrait.

C’est pour ces raisons que le Dr Thierry Loncle, chirurgien maxillo-facial à Paris et Neuilly, ne réalise pas ce type d’opération et traite uniquement ses patients avec des génioplasties osseuses.

Comme on l’observe sur les radiographies ci-dessous, la chirurgie du menton osseuse permet de fixer avec une grande précision l’os du menton et d’utiliser cette opération pour obtenir un résultat d’une parfaite stabilité dans le temps, avec un potentiel esthétique très important. Pour plus d’informations sur les techniques de chirurgie du menton, vous pouvez consulter notre page sur la génioplastie paris.

radios génioplastie Paris
Voici un patient qui avait un menton trop long. La génioplastie a permis de réduire la hauteur tout en conservant une légère avancée esthétique. 
Ainsi, qu’elle soit réalisée seule ou accompagnée d’une chirurgie des mâchoires, la chirurgie osseuse du menton permet, lorsqu’elle est réalisée par un chirurgien maxillo-facial expérimenté, d’obtenir des résultats qu’on ne pourrait pas obtenir avec des implants.

Chirurgie du menton avec des implants mentonniers en titane perforé sur mesure

Les implants mentonniers en titane perforé ou prothèses de menton, peuvent être utilisés pour remodeler, agrandir ou avancer le menton. 

Les implants en titane perforé sont moins courants et plus technologiques. Ce sont les seuls que j’utilise, nous verrons ensuite pourquoi. Ils sont réalisés sur mesure à partir d’une simultation 3D, comme on peut le voir sur l’image ci-dessous. 

prothese de menton en titane perforé sur mesure chirurgien maxillo facial paris avancement mandibulaire apnee du sommeil angles mandibulaires menton meilleur 7
Implant en titane perforé réalisé sur mesure

Ils présentent cependant de nombreux avantages par rapport aux autres types d’implants : 

  • Ils permettent une grande précision, avec plus de décalage par rapport à l’os que dans le cas d’un implant en silicone, avec des corrections de situations majeures comme le cas de la patiente ci-dessous ;
  • Ils présentent une parfaite adaptabilité car ils sont réalisés sur mesure ;
  • Leur conception perforée permet une parfaite intégration des tissus mous ; 
  • Ils sont fixés à l’os, donc pas de risque de mouvements. 
Patienteavec mise en place d’un implant en titane perforé avec planification 3D, une avancée du point menton de 9,4mm !

Chirurgie du menton avec des implants mentonniers en silicone

Les implants mentonniers en silicone ou prothèses de menton, peuvent être utilisés pour remodeler, agrandir ou avancer le menton.

L’augmentation chirurgicale du menton consiste à implanter un implant en matière plastique dans le menton et à la faire adhérer à l’os. Les implants alloplastiques (fabriqués à partir de matériaux synthétiques) sont les plus courants.

implant mentonnier chirurgie du menton paris
Différents types d’implants utilisés pour une chirurgie du menton ou génioplastie

Ils présentent cependant de nombreux inconvénients par rapport à la génioplastie osseuse ou aux implants en titane perforé sur mesure :

  • Les implants ne permettent pas de corriger la hauteur et la symétrie avec autant de précision et de liberté qu’une génioplastie osseuse
  • Avec le temps, les implants peuvent s’inscruster dans l’os
  • Il y a un risque de déplacement de l’implant, qui nécessite une opération pour le replacer
  • Il y a un risque de rejet de l’implant, qui nécessite alors une opération en urgence
Ci-dessus, plusieurs années après chirurgie on observe une prothèse de menton qui résorbe l’os du menton (faire défiler pour voir toutes les images)

Chirurgie du menton par injection d’acide hyaluronique

L’augmentation non chirurgicale du menton consiste à utiliser des aiguilles pour injecter des produits de remplissage, afin d’améliorer l’apparence du menton. Lorsqu’il n’y a que peu de retrait, on peut alors réaliser une injection d’acide hyaluronique par exemple.

Cette procédure est souvent proposée, avec un coût en apparence plus faible que la chirurgie, mais présente de très nombreux désavantages par rapport à une chirurgie du menton :

  • Le produit a une durée de vie limitée (1 an à 18 mois) il faut donc réaliser des injections tous les ans, ce qui revient très rapidement plus cher qu’une intervention chirurgicale
  • Le résultat est beaucoup moins marqué, et il n’est pas possible de maitriser avec finesse le rendu esthétique
  • Dans la plupart des cas, la chirurgie n’est pas proposée parce que non maitrisée ou pratiquée, mais elle devrait l’être car l’injection ne répond pas à la demande esthétique : dans le cas d’un menton très en retrait, d’une déviation, d’une insuffisance de hauteur.
  • Tout comme les implants, cette intervention ne permet en aucun cas de résoudre des problèmes de menton trop en avant, menton en galoche ou trop bas, qui demandent une intervention de chirurgie du menton osseuse.

Comment se déroule l’intervention de génioplastie à Paris ?

Préparation et déroulé de la génioplastie osseuse

Un premier rendez-vous de consultation a lieu avec le chirurgien maxillo-facial à Paris ou à Neuilly. Le patient exprime ce qu’il souhaite en termes de résultat esthétiques, ce qui le gêne. Le chirurgien présente alors les différentes possibilités et prescrit des examens radiologiques, un bilan céphalométrique avec un cone beam mandibulaire pour localiser le nerf alvéolaire inférieur, et il peut dans certains cas demander un scanner 3D du massif facial si nécessaire.

La chirurgie du menton est réalisée par le Docteur Thierry Loncle, chirurgien maxillo-facial, à la clinique Hartmann à Neuilly-sur-Seine. Avant l’intervention, le patient aura aussi un rendez-vous avec l’anesthésiste pour le meilleur confort lors de l’opération, qui se déroule sous anesthésie générale.

Un premier rendez-vous de consultation a lieu avec le chirurgien maxillo-facial à Paris ou à Neuilly. Le patient exprime ce qu’il souhaite en termes de résultat esthétiques, ce qui le gêne. Le chirurgien présente alors les différentes possibilités et prescrit des examens radiologiques, un bilan céphalométrique avec un cone beam mandibulaire pour localiser le nerf alvéolaire inférieur, et il peut dans certains cas demander un scanner 3D du massif facial si nécessaire.

La chirurgie du menton est réalisée par le Docteur Thierry Loncle, chirurgien maxillo-facial, à la clinique Hartmann à Neuilly-sur-Seine. Avant l’intervention, le patient aura aussi un rendez-vous avec l’anesthésiste pour le meilleur confort lors de l’opération, qui se déroule sous anesthésie générale.

Clinique Hartmann Chirurgie Maxillo Faciale Et Orthognatique
 La Clinique Hartmann, à Neuilly-sur-Seine près de Paris, où le Dr Thierry Loncle opère ses patients en chirurgie du menton (génioplastie)
Lors de l’opération, le chirurgien pratique une incision à l’intérieur de la bouche, il n’y aura donc pas de cicatrice visible après la chirurgie. L’opération dure environ une heure et les patients peuvent rentrer chez eux le jour même (l’intervention est pratiquée en ambulatoire).

Préparation et déroulé de la chirurgie pour implant du menton

Le remodelage du menton peut être réalisé en utilisant des implants mentonniers. Dans ce cas, le chirurgien réalise une incision et insère l’implant, qui peut être en silicone ou avec un autre matériau synthétique. Il existe de nombreux types d’implants, fabriqués à partir de divers matériaux, dont le silicone ou d’autres substances.

Le Docteur Thierry Loncle, chirurgien maxillo-facial à Paris, ne réalise pas de génioplastie avec des implants, en raison des inconvénients et des risques associés à ce type de chirurgie.

Génioplastie Paris : un cas de génioplastie seule (génioplastie de réduction de hauteur et d’avancée)

Chez cette patiente, on a réalisé une génioplastie de réduction de hauteur et d’avancée, pour répondre à une demande exclusivement esthétique de la part de la patiente. L’effet obtenu est une harmonisation du profil, avec un changement subtil mais très bénéfique au niveau de l’ensemble du visage.

Génioplastie Paris : un cas de génioplastie avec ostéotomie bi-maxillaire

Le remodelage du menton peut être réalisé en utilisant des implants mentonniers. Dans ce cas, le chirurgien réalise une incision et insère l’implant, qui peut être en silicone ou avec un autre matériau synthétique. Il existe de nombreux types d’implants, fabriqués à partir de divers matériaux, dont le silicone ou d’autres substances.

Le Docteur Thierry Loncle, chirurgien maxillo-facial à Paris, ne réalise pas de génioplastie avec des implants, en raison des inconvénients et des risques associés à ce type de chirurgie.

Génioplastie Paris : un exemple de génioplastie chez une patiente en traitement d’orthodontie

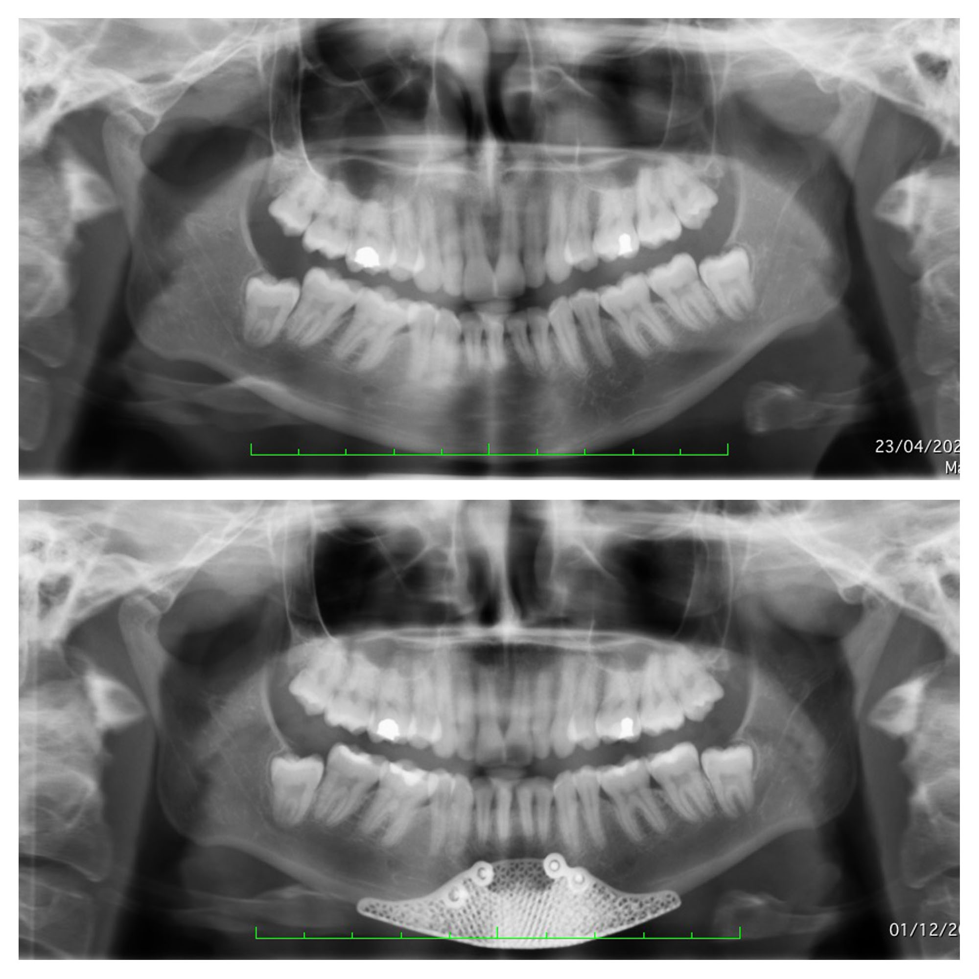
Voici le cas d’une patiente en Classe I squelettique mais en Classe III dentaire, du fait de la vestibulo-version des incisives mandibulaires (incisives rentrées vers l’intérieur) avec excès vertical antérieur. Cette patiente a été traitée par une rotation anti-horaire de la mandibule et une génioplastie, qui ont permis de corriger l’aspect inesthétique de départ. L’impact est aussi bien esthétique que fonctionnel, avec une amélioration de la qualité du sommeil.

Remarque sur le diagnostic et le plan de traitement : il ne fallait pas avancer le maxillaire (le haut) en raison des retentissements esthétiques néfastes potentiels mais bien faire un geste sur la mandibule (le bas). Dans tous les cas, mais encore plus ici, l’expérience du chirurgien orthognatique est cruciale afin de bien déterminer le plan de traitement adapté.

Remarque sur le traitement orthodontique associé : une fois l’intervention chirurgicale terminée, l’orthodontiste a repris son traitement et “égressé” les dents mandibulaires (du bas) pour fermer la béance postérieure générée par le mouvement chirurgical.

Quelles sont les suites de l’intervention de génioplastie à Paris ?

Avant de laisser sortir le patient de la Clinique, le Docteur Thierry Loncle, chirurgien maxillo-facial à Paris et à Neuilly, lui donnera les instructions de soins postopératoires.

Celles-ci incluent :

–       La posologie et le moment de la prise d’antibiotiques par voie orale

–       Des conseils pour gérer la douleur et le gonflement

–       Le passage à une alimentation liquide ou molle pendant les premiers jours

–       La nécessité d’éviter les activités intenses pendant 3 à 4 semaines

Après une génioplastie, le Docteur Thierry Loncle fournit aussi à ses patients un masque dans lequel passe de l’eau à 15°C généré en permanence par une machine. Ce masque de froid fait la différence, permet de réduire le gonflement et de se rétablir plus rapidement après une chirurgie du menton. Vous devrez louer la machine en général une semaine.

Vous aurez également un pansement conformateur avec de l’élastoplaste à garder pendant 5 jours.

Le Docteur Thierry Loncle, chirurgien maxillo-facial à Paris et à Neuilly, vous revoit ensuite à plusieurs reprises après l’opération pour contrôler l’évolution et la stabilisation du résultat : un premier rendez-vous a lieu après 1 semaine, avec les radios, puis à 3 et à 6 mois après l’opération.

masque froid chirurgie maxillo faciale
 La machine de froid que propose le Dr Thierry Loncle à ses patients en chirurgie du menton (génioplastie)

FAQ : les réponses à vos questions sur la chirurgie du menton à Paris

Quel est le prix d’une génioplastie à Paris ?
Le coût final d’une génioplastie pourra être déterminé lors de votre première consultation avec le Docteur Loncle, chirurgien maxillo-facial à Paris. Une prise en charge partielle peut parfois exister selon votre cas.

N’hésitez pas à nous contacter directement par téléphone pour plus d’informations sur la chirurgie du menton auprès du secrétariat du Dr Thierry Loncle, chirurgien maxillo-facial à Paris et à Neuilly-sur-Seine.

Génioplastie : remboursement et prise en charge ?
Une prise en charge partielle peut parfois exister selon votre cas et votre contrat de mutuelle.

N’hésitez pas à nous contacter directement par téléphone pour plus d’informations sur la chirurgie du menton auprès du secrétariat du Dr Thierry Loncle, chirurgien maxillo-facial à Paris et à Neuilly-sur-Seine.

Qui consulter pour une chirurgie du menton à Paris ?
Lorsque vous choisissez de réaliser une intervention de chirurgie maxillo-faciale, vous voulez être sûr d’être entre de bonnes mains et d’obtenir le résultat que vous attendiez.

C’est pourquoi l’une des décisions les plus importantes à prendre lorsque vous envisagez une augmentation du menton est de choisir le chirurgien qui pratiquera l’intervention. Vous pouvez demander conseil à des connaissances qui ont déjà réalisé des opérations de chirurgie maxillo-faciale, consulter plusieurs praticiens, et regarder les cas avant/après des praticiens spécialisés dans ce type de chirurgie.

Comment prendre rendez-vous pour une chirurgie du menton ?
Vous souhaitez prendre rendez-vous ? C’est par ici. Le Docteur Thierry LONCLE consulte à Paris et à Neuilly. Le Docteur Loncle vous renseignera en détail lors de la consultation.
La chirurgie du menton (génioplastie) vous convient-elle ?
La chirurgie du menton (génioplastie) corrige le menton fuyant, le désalignement du menton ou l’excès de menton. Si vous êtes préoccupé par la position, la forme ou le contour de votre menton, la chirurgie du menton est une solution esthétique que vous pouvez envisager. La génioplastie est une chirurgie couramment pratiquée par des chirurgiens maxillo-facial spécialisés.

Dans le cadre de la prise en charge du patient, le chirurgien doit toujours rechercher l’existence de troubles du sommeil, voire de syndrome d’apnée du sommeil, qui devront dans ce cas être pris en compte pour la décision thérapeutique.

Génioplastie avant/après : où trouver plus de cas ?
Si vous souhaitez réaliser une chirurgie du menton à Paris, il est normal que vous cherchiez à consulter des cas avant/après de chirurgie du menton réalisés par le chirurgien que vous consultez, comme le Docteur Thierry Loncle, chirurgien maxillo-facial, avant de vous décider. C’est pour cela que nous avons mis à votre disposition de nombreux cas avant/après de chirurgie du menton ainsi que sur notre page Instagram.
Quel temps de gonflement pour une génioplastie ?
Après une génioplastie, il faut compter environ 15 jours de gonflement. Ensuite, le gonflement disparaît progressivement. On observera un résultat définitif au bout de 3 à 6 mois.
Des avis sur la chirurgie du menton à Paris (génioplastie) ?
Nous savons qu’il est important d’être accompagné et les avis d’autres patients sont essentiels pour anticiper l’opération de chirurgie du menton). Nous avons ainsi demandé à des patients s’ils souhaitaient témoigner de leur opération, et vous pouvez consulter des témoignages vidéo de patients opérés d’une chirurgie du menton par le Docteur Loncle, chirurgien maxillo-facial à Paris, directement sur notre site internet : ici.
A quel âge est-il possible de réaliser une génioplastie ?
Elle peut être pratiquée à partir de 15-16 ans, mais dans certains cas vers 12-13 ans, notamment lorsqu’il existe un excès de hauteur symphysaire avec inocclusion labiale au repos, on parle dans ce cas de génioplastie fonctionnelle telle que préconisée par le Professeur Jean Delaire.
Comment se déroule l’opération de chirurgie du menton à Paris ?
L’intervention de chirurgie du menton Paris est réalisée sous anesthésie générale et dure environ 1h. L’incision s’effectue à l’intérieur de la bouche au niveau de la muqueuse en avant des dents. Il est pratiqué une dissection sous-périostée qui expose toute la région du menton après repérage des 2 nerfs alvéolaires inférieurs. Il est pratiqué une section osseuse au piezotome (qui préserve les tissus mous et les nerfs) avec ou sans résection osseuse ou greffe osseuse en fonction du type de génioplastie ou chirurgie du menton à Paris.

La partie inférieure du menton est stabilisée avec une plaque en titane préformée et fixée par 4 vis. La suture de la voie d’abord est pratiquée aux fils résorbables. Il est mis un pansement légèrement compressif et modelant (type élastoplaste) à garder 5 jours pour que les tissus se ré-appliquent sur la nouvelle position du menton osseux.

Quels sont les risques liés à une chirurgie du menton à Paris ?
Voici les risques liés à une chirurgie du menton Paris (génioplastie) :

  • Diminution de la sensibilité de la lèvre inférieure
  • Intolérance aux matériels d’ostéosynthèse
  • Retard de consolidation (exceptionnelle)
Combien de temps faut-il pour voir les résultats d’une génioplastie à Paris ?
Les premiers résultats d’une chirurgie du menton à Paris sont visibles à 10 jours post-opératoires. Le résultat définitif sera visible comme pour toute intervention entre 3 et 6 mois après l’opération.

Qu'avez-vous pensé de cette page ?

Notez-la

Note moyenne 4.1 / 5. Vote pris en compte. 67